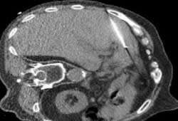
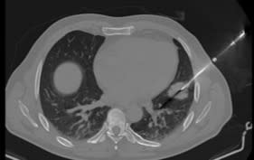
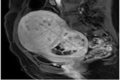
GİRİŞİMSEL RADYOLOJİ TEDAVİLERİ
GÜNCEL KONULAR
PROF. DR. MUTLU CİHANGİROĞLU
Işığı Ararken,
Çukurova Tıp mezuniyeti sonrası mecburi hizmet ve ardından askerlik
hizmeti sırasında askeri hastanenin aktif ve motive acil hekimi
olarak çalıştığım sırada radyoloji uzmanlığını fotoğrafa ilgim
nedeniyle de kendime yakın hissettim. İçimde bir cerrahi arzu da yok
değildi.
Tek radyoloji tercihim sonrasında Akdeniz Üniversitesi Tıp Fakültesi
Radyoloji anabilim dalında keyifli bir uzmanlık eğitimini
tamamladım. Uzmanlıkta radyolojiye sevgim arttı ama cerrahi ilgim
kaybolmadı ve bu iki ilgim girişimsel radyoloji de vücut buldu.
Sürekli merak etmek ve yurtdışı ilgim daha uzmanlığımın başında
kendini gösterdi. Bir fırsat yaratıp West General Hospital,
İskoçya’da Dr. Sellar’ın yanında çalıştım ve hayatımda ilk GDC koili
gördüm. Bu ziyaret beni hasta hekim ilişkisi yönünden de derinden
sarstı. Biz koridorlarda bağrışırken burada sessizlik ve saygı
hakimdi.



























